
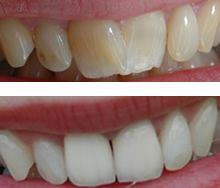
Dental crowns are dental restorations, otherwise known as “caps” that fit over the visible tooth structure.
Dental crowns are common cosmetic dentistry procedures that have many uses and benefits, and can:
- change the colour of a tooth
- restore a worn-out tooth
- alter the shape of a skewed tooth and align it in a straight line
- be extremely durable and last for a long time
Crowns are made from different materials, giving you a few options. When your dentist recommends you to have a dental crown procedure, they will discuss the different types and which one is right for you.
These options include:
- Acrylic dental crowns
- Cast metal dental crowns
- Porcelain dental crowns (most natural-looking)
- Porcelain with metal support underneath
When getting a crown done, you want something that looks exactly like a real tooth and will be durable for years to come.
Kildonan Crossing Dental Centre has a team of Winnipeg dental crown experts who have years of experience. And if this teeth restoration process is what your smile needs, we will assist you through every step.
Learn more about the cosmetic dentistry services we offer and visit our Cosmetic Dentistry page.